
요즘 들어 치아부식 및 부정교합으로 인해 미니쉬에 대한 관심이 꽤나 늘어나는 듯합니다.
따라서 이번 글에서는 미니쉬란 무엇이며, 미니쉬의 시술 과정과 가격에 대해서도 자세히 정리해보려 합니다.
꼼꼼히 읽어보시고 미니쉬에 대한 궁금증을 모두 해소하시길 바랍니다.
※본문에 앞서 필자는 미니쉬 치료를 시행하는 치과와는 아무런 이해관계도 없으며, 오롯이 지적 탐구심에 의한 정보성 글임을 밝힙니다.
글의 순서
미니쉬란 무엇일까?

미니쉬는 치아와 가장 유사한 성질의 재료로, 자연치아의 형태를 재현하면서 기존의 치아 기능 복구를 목표로 하는 치아 솔루션을 의미합니다.
미니쉬의 본래 목적은 치아의 건강을 회복하는 것이지만. 이와 동시에 치아의 형태, 색상, 비율, 치열까지도 덤으로 개선이 가능하다고 합니다. 이로 인해 미용 목적으로 하시는 분들도 많이 계시지요.
국내에서 미니쉬로 가장 유명한 '미니쉬 치과 병원'에서는, 개개인의 구강 문제에 따라 치아의 불필요한 삭제 없이 손상된 부분에 치아와 가장 비슷한 성질의 재료를 채워 넣어 손상된 치아와 잇몸을 기능적, 심미적으로 회복한다고 합니다.
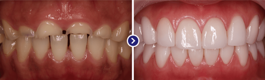
미니쉬 치료 사례




위 이미지는 실제 미니쉬 치료 전/후 이미지에 해당하며, 이미지 출처는 서울 미니쉬 치과의원입니다.
아마 미니쉬 시술을 '라미네이트' 시술과 헷갈리시는 분들도 많으실 듯합니다. 사실 미니쉬 또한 큰 범주에서 보자면 라미네이트 시술과 동일하다고 할 수 있습니다.
그러나 일반 라미네이트 시술과 비교했을 때, 미니쉬의 장점은 자연 치아의 성질을 고려하여 에나멜, 덴틴의 성질에 맞는 가장 비슷한 재료로 채워주는 것이라고 합니다.
원래 기존 치아 파절에 사용하는 강한 재료들은 다루기가 쉽고, 쉽게 깨지지는 않지만 주변 치아들에 강한 힘이 작용하여 오히려 파절 마모의 원인이 되는 일들이 많았다고 합니다.
이러한 기존 재료의 한계점을 보완해서 자연 치아의 성질과 최대한 유사하게 결합하는 것이 미니쉬 시술의 장점인 듯합니다.
미니쉬 치료 과정

미니쉬는 첨단 시스템 및 다수의 장비와 인력, 3D 프린팅 공정 기술을 활용해 설계 후, 개인 치아에 맞춘 미니쉬를 제작한다고 합니다.
요즘은 기능성 뿐만 아니라 심미적인 부분도 중요시하는 분들이 많습니다. 따라서 임플란트나 보철물 또한 주변 치아들의 모양과 색상이 조화를 이루는 것이 중요한 것 같습니다.
아래는 미니쉬 치료를 받을 경우 대체적으로 시행되는 순서라고 합니다.
- 1차 상담 및 구강 진단 (X-ray · 구강 촬영)
- 2차 검진 및 구강 정밀 진단 (치아 모형 채득 ·안모)
- 미니쉬 전 잇몸 건강 보완 (치아 스케일링 · 잇몸 성형)*선택사항
- 미니쉬 제작 준비 (미니쉬 제작을 위한 인상 채득, 치아 디자인 상담)
- 미니쉬 결합 (디자인 체크 | 자연치아와 결합 | 결합 후 교정)
- 미니쉬 피팅 체크, 스마일 라인 체크, 미니쉬 관리법 설명
일반적으로 진행되는 순서는 라미네이트와 비슷한 것 같습니다. 저 같은 경우는 라미네이트 경험은 없지만, 임플란트와 크라운을 한 경험은 있습니다. 대부분의 치과 치료는 시행되는 과정이 보편적으로 비슷 비슷한 것 같습니다.
미니쉬 가격
국내에서 현재 미니쉬 시술로 가장 유명한 미니쉬 치과병원에서는 차등수가제를 실시하고 있다고 합니다. 차등 수가제라는 것은 시술자의 등급이나 보증 기간에 따라 비용을 달리해서 선택의 폭을 넓히는 것이라고 합니다.
차등수가제를 헬스장이나 필라테스샵에서 PT(퍼스널 트레이닝)를 받는 것으로 예를 들어 보자면, 대표원장에게 받는 가격과, 매니저한테 받는 가격과, 트레이너에게 받는 가격에 차이가 있는 것과 동일합니다.
아래는 2023년 기준으로 미니쉬 치과병원에 근무 중인 선생님이 실제로 네이버 지식인에 답변해주신 '미니쉬 의료진별 차등 수가표'입니다.
실제 미니쉬 치과병원에서 근무하는 선생님이 답변을 주신 것이니, 가장 정확한 비용일 것으로 보입니다.
| 구분 | 미니쉬 프리미엄 | 미니쉬 퍼펙트 | 미니쉬 베이직 | 미니쉬 심플 |
| 시술자 | Master | Director | Chief | Member |
| 시술건수(미니쉬) | 30,000회 이상 | 10,000회 이상 | 1,000회 이상 | 100회 이상 |
| 보증기간 | 10년 | 7년 | 5년 | 3년 |
| 가격(개당) | 1,500,000원 | 1,200,000원 | 980,000원 | 750,000원 |
| 기타 옵션 | ||
| 구분 | 원데이 | 잇몸 성형 |
| 가격(개당) | 100,000원 | 100,000원 |
| 특수 진료 내용 | ||||
| 특수 미니쉬 | 듀얼 | 핑크 | 구치부 | 브릿지 |
위 표의 기타 옵션에 기입되어 있는 '원데이'는 원데이 임플란트와 동일한 의미로, 하루 만에 자연 치아와 결합할 미니쉬를 제작하여 시술까지 끝나는 옵션이라고 합니다.
저는 처음에 '이게 가능한가?'라는 생각도 들었는데요, 알고 보니 원내에 자체적으로 기공소를 보유하고 있기 때문에 원데이 미니쉬가 가능하다고 합니다.
자료들을 살펴보니 하루에 제작하는 기공물의 양을 정해둔 뒤, 전문 기공사분들이 2차 가공까지 진행해서 정밀하게 작업을 진행한다고 합니다.
미니쉬 치과 병원

현재 국내에서 미니쉬 시술로 가장 대표적인 곳은 강남 도산공원 사거리에 위치한 '미니쉬 치과병원'입니다. 2020년도 까지만 해도 상호명이 '오늘 안 치과'였던 것으로 기억하는데, 아무래도 더 크게 확장하면서 상호명도 변경한 듯합니다.
미니쉬 치과 병원은 365일 연중무휴로 운영한다고 합니다. 평일에는 야간 진료까지 진행한다고 하니, 더 자세한 내용이 궁금하신 분들은 아래 공식 홈페이지를 참고하시면 좋을 듯합니다.
제 글이 조금이나마 도움이 되었길 바라며, 오늘은 이만 여기서 줄이도록 하겠습니다.
함께 읽으면 좋은 글
임플란트 시술 과정, 기간, 통증 총정리
임플란트 시술 과정, 기간, 통증 총정리 안녕하세요 문무남입니다. 오늘은 제가 얼마 전에 직접 임플란트 시술을 받았던 후기를 리얼하게 작성해보려 합니다. 저는 과거에 교통사고로 앞니 임플
jaid.2quater.com
'- 생활 정보' 카테고리의 다른 글
| 과민성 대장증후군에 좋은 음식, 영양제 추천 ! (0) | 2023.05.21 |
|---|---|
| 임플란트 종류 장단점 평균 가격 정리 (0) | 2023.05.12 |
| 독감 테라미플루 수액 부작용 (0) | 2023.05.04 |
| 독감 키트 및 타미플루 수액 가격 (0) | 2023.05.03 |
| 마늘주사 효능 가격 부작용 실비 여부는 ? (0) | 2023.05.03 |
댓글